علت تنگی فک بالا؛ معرفی نشانهها و راههای درمان
فهرست مطالب
آیا میدانستید که مکیدن بیش از حد انگشت در کودکان خردسال میتواند باعث تنگی فک بالا شود؟ یکی از آن ناهنجاریهای اسکلتی شایع در دندانپزشکی و ارتودنسی، تنگی فک بالا است که میتواند از کودکی شروع شود و تا بزرگسالی ادامه پیدا کند. خدمات تخصصی فک در کلینیک دکتر شهاب الدین عزیزی را در 24 ساعته شبانه روز در اختیار داشته باشید.
تصور کنید یک کودک خردسال که به خاطر تنفس از دهان یا مکیدن انگشت، فک بالای او کم کم تنگتر میشود و نه تنها لبخندش را تحت تأثیر قرار میدهد، بلکه ممکن است به مشکلات تنفسی جدی مثل آپنه خواب برسد.

در ادامه از علت تنگی فک بالا گرفته تا نشانههای پر تکرار، روشهای تشخیص مثل رادیوگرافی و گزینههای درمانی متنوع از ارتودنسی بدون جراحی مثل RPE تا جراحیهای پیشرفته مثل SARME را توضیح خواهیم داد.
اگر سوالی مثل آیا تنگی فک بالا ارثی است؟ یا چگونه بفهمیم فک بالا تنگ است؟ ذهنتان را مشغول کرده، نگران نباشید. توضیحات و توصیهها را مطالعه کنید و به کار بگیرید.
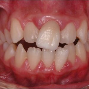
تنگی فک بالا دقیقا چه وضعیتی است؟
متخصصان فک، دهان و صورت به آن نقص عرضی فک بالا یا تنگی فک بالا میگویند و وضعیتی است که عرض فک بالایی (ماگزیلا) کمتر از حد طبیعی شکل گرفته. این مسئله باعث میشود کام باریک و سقف دهان گنبدی شکل شود و دندانهای فک بالا دیگر نمیتوانند به صورت درست با پایین جفت شوند. برای آشنایی با جراحی فک بالا به این صفحه مراجعه کنید.

در بچهها اغلب با کراس بایت همراه است، یعنی دندانهای عقبی فک بالا داخل فک پایین رشد میکند، مثل یک پازل که تکهها درست در جای خود قرار نگیرد.
بررسی بالینی نقص عرضی فک بالا
از نظر بالینی میتواند خفیف باشد و فقط شلوغی دندانی به همراه داشته باشد، یا شدیدتر و به کمبود میدفیس برسد، در واقع وضعیتی است که صورت را در ناحیه میانی باریکتر نشان میدهد. فرآیندهایی مثل وسیعسازی پالاتال یا RPE هم در درمان عارضه تنگی فک بالا رایج است، یعنی باز کردن تدریجی عرض فک با دستگاههای ارتودنسی.
مهمترین نشانه و افزایش احتمال ایجاد تنگی فک در کودکان
اگر کودک شما نشانهای مثل دهان باز نگه داشتن دائمی یا خرخر شبانه دارد، این میتواند نشانه اولیه تنگی فک بالا در کودکان باشد، در این حالت زود اقدام کنید تا بتوانید جلوی این مشکل را بگیرید.
مهمترین علتهای تنگی فک بالا
علت تنگی فک بالا معمولا ترکیبی از ژنتیک و محیط زندگی در نظر گرفته میشود، این وضعیت از دوران جنینی شکل میگیرد، اما عادتهای کودکی میتواند آن را بدتر و شدیدتر کند. در ادامه بررسی میکنیم که هر عامل چگونه شکل میگیرد:
ژنتیک و عوامل مادرزادی
خیلی از موارد تنگی فک بالا ریشه ژنتیکی دارند، اگر والدین یا اقوام نزدیک سابقه ناهنجاریهای فکی مثل شکاف کام یا فک کوچک داشته باشند، ریسک ظاهر شدن آن برای کودک بیشتر میشود.
تحقیقات نشان میدهد ژنهای مرتبط با رشد استخوان ماگزیلا نقش اصلی را بازی میکنند در واقع میتوان گفت وراثتپذیری عرض فک بالا در ۹ سالگی حدود ۷۰ درصد است.

آیا تنگی فک بالا ارثی است؟ بله، تا حدود بسیار زیادی، اما محیط هم بی تاثیر نیست، مثلا در خانوادههایی با سابقه آلرژی تنفسی، این مسئله شایعتر است، چون مسدود شدن بینی از تولد رشد فک را مختل میکند.
عادات دوران کودکی مثل مکیدن انگشت و پستانک
یکی از دلایل تنگی فک بالا در کودکان، عادتهای دهانی مثل مکیدن انگشت یا پستانک طولانیمدت است. این عادتها فشار دائمی به فک وارد میکنند و جلوی رشد طبیعی کام را میگیرند.
ریسک تنگی فک بالا و شلوغی دندانی را استفاده از پستانک و مکیدن انگشت در سنها بیش از 2 یا 3 سال تا ۴۰ درصد بالا میبرد، بهتر است مراقب این موضوع باشید و پیشگیری کنید.
چطور مکیدن باعث ایجاد ناهنجاری در فک میشود؟
در این حالت انگشت شست مدام سقف دهان را فشار میدهد و فک را به داخل میکشد، از ۱۸ ماهگی تلاش کنید این عادت را با اسباب بازیهای جویدنی جایگزین کنید چون این کار تفاوتهاس اصلی را ایجاد میکند.
تنفس دهانی، آلرژی و انسداد راه هوایی مثل لوزه و پولیپ
تنفس دهانی و تنگی فک بالا مثل دو موضوع لاینفک هستند، وقتی بچه به خاطر آلرژی، پولیپ بینی یا لوزههای بزرگ نمیتواند از بینی نفس بکشد، زبانش پایین میماند و فشار لازم برای باز شدن فک تأمین نمیشود.
این موضوع به انسداد راه هوایی منجر میشود و فک را تنگ نگه میدارد. در موارد شدید، بزرگ بودن لوزه و فک بالا با هم ترکیب میشوند و بچه را به تنفس دهانی عادت میدهند، که خود فک را کوچکتر میکند.
خبر خوب این است که برداشتن لوزهها در سنین پایین میتواند این روند را برگرداند، اگر کودک شما همیشه دهانباز میخوابد، این میتواند نشانه پولیپ و تنگی فک بالا باشد.
تروما و ضربه در کودکی
احتمال به وجود آمدن تنگی فک بالا بعد از ضربه خیلی کم است، اما تأثیرش سنگین در مقابل بسیار بالا است. افتادن یا ضربه به صورت در کودکی میتواند رشد استخوان را به هم بزند و عدم تقارن یا تنگی را بسازد. در این صفحه درباره روش جراحی تروما در اثر ضربه یا تصادف بیشتر مطالعه کنید.
بنابر گزارشهای پزشکی ترومای خفیف، مثل افتادن از دوچرخه، اگر درمان نشود، به نقص عرضی ماگزیلا منجر میشود.
علائم شناسایی و روشهای تشخیص تنگی فک بالا
چگونه بفهمیم فک بالا تنگ است؟ علائم اولیه آن ظریف و جزئی به شمار میآید، اما با گذشت زمان واضحتر میشود، شایعترین علائم تنگی فک بالا این موارد هستند:
- شلوغی دندانی: دندانها به خاطر کمبود جا روی هم قرار میگیرند
- کراسبایت: دندانهای عقبی فک بالا به فک پایین منتقل میشوند
- مشکلات تنفسی: خرخر شبانه، تنفس دهانی همیشگی، حتی ارتباط تنگی فک بالا و آپنه خواب
- ظاهر باریک چهره: صورت در ناحیه گونهها باریکتر به نظر میرسد، یا لبخند پنهان میکند.
برای تشخیص تنگی فک بالا، ارتودنتیست ابتدا معاینه کلینیکی انجام میدهد، اندازهگیری عرض قوس دندانی و چک بایت ثبت میشود.
بعد از آن، تشخیص تنگی فک بالا با عکس رادیوگرافی برای اطمینان از نوع تشخیص شکل میگیرد. رادیوگرافی پانورامیک (OPG) عرض فک را نشان میدهد و CBCT مدل سه بعدی دقیقی از استخوانها میسازد. بعد از آن پزشک متخصص تصمیم میگیرد عمل فک را انجام دهد یا روش دیگری را در پیش بگیرد.
ارتباط تنگی فک بالا با مشکلات دندانی و عملکردی
زمانی که بحث درمان تنگی بالا مطرح میشود تنها به فکر بازگرداندن زیبایی نیستیم، بلکه در غیر اینصورت مجموعهای از مشکلات عملکردی ممکن است فرد را تهدید کند. برای مثال از نظر دندانی، کراس بایت و تنگی فک بالا ساییدگی ناهموار دندانها و جویدن سختتر را میکند و در نتیجه هضم را مختل میکند. درمان شلوغی دندان بیشتر نیاز به وسیع کردن اولیه دارد، به همین دلیل ارتودنسی به تنهایی جواب نمیدهد.
همچنین، تنگی فک بالا در بزرگسالان میتواند سردردهای مزمن، مشکلات TMJ (مفصل فک) را ایجاد کند. هرچه زودتر درمان آغاز شود پیامدهای منفی نیز کاهش مییابد.
روشهای درمانی جراحی و غیرجراحی تنگی فک
انواع روشهای درمان تنگی فک بالا وابسته به سن و شدت آن تفاوت دارد، هدف افزایش عرض فک از 5 تا 10 میلیمتر است.
درمانهای غیرجراحی از طریق ارتودنسی و RPE
برای بچهها و نوجوانها، rapid maxillary expansion (RPE) یا وسیعسازی کام روش مناسبی است. در این روش دستگاه فلزی روی کام قرار میگیرد و با حرکت روزانه، فک را باز میکند.
درد کم، هزینه مناسب و نتایج سریع 3 تا 6 ماهه از مزایای این روش است. باز کردن فک بالا بدون جراحی با RPE در 7 تا 12 سالگی ایده آل است. ارتودنسی برای تنگی فک بالا معمولا با RPE ترکیب میشود و براکت یا الاینرهای شفاف دارد.
درمان از نوع جراحی SARME
در تنگی فک بالا در بزرگسالان، جراحی بازسازی فک بالا جراح درزهای استخوانی را برش میدهد، در این حالت گسترش پایدار تا ۱۵ میلیمتر، بهبود تنفس و زیبایی رخ میدهد. نرخ موفقیتش حدود ۹۳.۸۷ درصد است، اما عوارض ۱ تا ۵۰ درصد مثل عفونت یا درد ممکن است وجود داشته باشد باشد.
زمان مناسب درمان؛ کودکی در مقابل بزرگسالی
بهترین زمان مناسب درمان تنگی فک بالا قبل از بسته شدن درز میانی (۱۴ سالگی دخترها، ۱۶ پسرها) است. در کودکی، پیشگیری از تنگی فک بالا در نوزادان با کنترل عادتها و آلرژیها ممکن میشود.
اما در بزرگسالی، پیچیدهتر است، درمان تنگی فک بالا در تهران با متخصصهای خبره نتایج فوقالعادهای را تا کنون به همراه داشته است.
برای این فرآیند خطیر و حساس تلاش کنید بهترین ارتودنتیست برای تنگی فک بالا در تهران را با نظرات بیماران پیدا کنید، پیشنهاد ما به شما دکتر شهاب الدین عزیزی است که سابقه درخشانی در این حوزه دارد
سوالات شما درباره درمان تنگی فک بالا
مهمترین و متداولترین سوالات شما درباره این موضوع را دکتر شهاب الدین عزیزی متخصص فک و صورت پاسخ دادهاند، در صورتی که سوال شما در میان موارد زیر نبود با ما تماس بگیرید و نوبت حضوری ست کنید.
تنگی فک بالا چیست؟
تنگی فک بالا وضعیتی است که عرض فک بالایی کمتر از طبیعی و میتواند به کراسبایت و مشکلات تنفسی منجر شود.
چه چیزی باعث تنگی فک بالا میشود؟
عوامل اصلی ژنتیک، مکیدن انگشت، تنفس دهانی و ضربه.
آیا مکیدن انگشت باعث تنگی فک میشود؟
بله، مکیدن طولانیمدت انگشت فشار نامناسبی به کام میآورد و عرض فک را کم میکند.
آیا تنگی فک بالا قابل درمان است؟
بله، با RPE در بچهها یا SARME در بزرگسالان، کاملا اصلاح میشود.
بهترین سن برای وسیعسازی فک بالا کی است؟
7 تا 12 سالگی، قبل از بسته شدن درز میانی.
آیا درمان تنگی فک درد دارد یا نیاز به جراحی دارد؟
RPE درد خفیفی دارد و بدون جراحی انجام میشود؛ روش SARME به جراحی نیاز دارد، اما نتایج پایدارتری را خواهد داشت.
اگر نشانههایی را دیدید، هرچه سریعتر به ارتودنتیست مراجعه کنید، این مطلب بر اساس منابع معتبر نوشته شده، اما جای مشاوره پزشکی را نمیگیرد. برای درمان تنگی فک بالا در تهران، کلینیک دکتر شهاب الدین عزیزی را بررسی کنید.
علتها و نشانههای تنگی فک بالا تشخیص ناهنجاری توسط دکتر شهاب الدین عزیزی
آنچه که در این مطلب مطالعه نمودید علتها و تشخیص و در نهایت انواع روشهای درمان تنگی فک بالا است که توسط دکتر شهاب الدین عزیزی در کلینیک انجام میشود. در صورتی که نشانههایی که از آنها نام بردیم را در کودک خود میبینید، درنگ نکنید و هزچه زودتر برای جلوگیری از پیامدهای عملکردی ثانویه پیشگیری کنید. برای رزرو نوبت بر روی صفحه نوبت دهی آنلاین وبسایت کلینیک کلیک کنید.