علت بیرون زدگی استخوان فک، تشخیص و درمان
فهرست مطالب
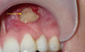
اگر حس میکنید یک چیز سفت یا سفید از لثهتان بیرون زده، ممکن است نگران شوید، این وضعیت، که به آن بیرون زدگی استخوان فک میگویند، دلایل مختلفی دارد، از باقی ماندن تکه ریشه دندان گرفته تا رشد اضافی استخوان یا عفونت.
در اینجا، قدم به قدم علتها، نشانهها، روشهای تشخیص و درمان را بررسی میکنیم تا بدانید چه زمانی باید سریع بروید به پزشک مراجعه کنید و چه زمانی با مراقبتهای ساده این مشکلات برطرف میشوند. اگر درد، تورم یا ترشح دارید، همین حالا برای معاینه با کلینیک دکتر شهاب عزیزی تماس بگیرید، تا زودتر ناهنجاری به وجود آمده برطرف شود.
بیرون زدگی استخوان فک دقیقا یعنی چه؟
بیرون زدگی استخوان فک وقتی پیش میآید که بخشی از استخوان فک از زیر لثه دیده شود، این میتواند یک تکه کوچک سفید یا سفت باشد که لثه را سوراخ کرده، که اغلب در ناحیه دهان قابل مشاهده است.
در اصطلاحات پزشکی، به این وضعیت اکسوستوزیس (exostosis) یا توری فکی (mandibular tori) میگویند، که یک رشد غیر طبیعی استخوانی به شمار میآید.

گاهی هم با پیشآمدگی فک (prognathism) اشتباه گرفته میشود، ولی تفاوت این است که prognathism کل فک را جلو میبرد، در حالی که بیرون زدگی معمولا دهانی و کوچک است.
این مشکل اغلب بدون درد شروع میشود، ولی اگر عفونت یا التهاب لثه باشد، میتواند باعث اذیت شما شود. مثلا در کلینیک ما، تجربه معالجه بیمارانی داشتهایم که بعد از کشیدن دندان این مسئله برایشان پیش آمده و تصور میکردند مورد جدیای نیست.
ولی باید بدانید که اگر زود چک نشود، میتواند به مشکلات بزرگتری مثل عفونت استخوان (osteomyelitis) منجر شود. برای تشخیص، معمولا یک معاینه ساده و رادیوگرافی کافی است.
علتهای بیرون زدگی استخوان فک
نشانه بیرون زدگی استخوان فک متنوع است و وابسته به وضعیت بیمار فرق میکند، برای تشخیص درست بهتر است آزمایشات و تصویربرداریهایی انجام شود و نوع عارضه دقیقا بررسی شود. در ادامه نمونههای مختلف را بررسی میکنیم.
پس از کشیدن دندان یا جراحی دهان
یکی از شایعترین دلایل، بعد از کشیدن دندان است که اگر لخته خون درست تشکیل نشود یا تکهای از ریشه باقی بمواند، استخوان فک نمایان میشود، گاهی هم تحلیل استخوان فک (resorption) باعث میشود لثه عقب رفتگی داشته باشد و استخوان بیرون روی کند.
یک بیمار 45 ساله داشتیم که بعد از کشیدن دندان آسیاب، استخوانش بیرون زده بود چون عفونت کوچکی وجود داشت، درمانش با برداشتن تکه باقی مانده و آنتیبیوتیک حل شد. مطالعات نشان میدهد که در 10 تا 20 درصد موارد کشیدن دندان، اگر مراقبت درست صورت نگیرد، این مشکل پیش میآید.
رشد غیرطبیعی استخوان (Exostosis Tori)
رشد اضافی استخوان، که به آن اکسوستوزیس میگویند، میتواند باعث بیرون زدگی شود، این رشد معمولا در قسمت داخلی فک پایین (mandibular) یا فک بالا پیش میآید و بدون درد است.
دلایلش ژنتیکی یا به خاطر فشار مداوم است، اغلب در بزرگسالان دیده میشود و نیاز به درمان ندارد، مگر اینکه باعث پارگی لثه شود.
تروما یا فشار مزمن (Bruxism)
ضربه به فک یا دندان قروچه (bruxism) میتواند باعث شود استخوان واکنش نشان دهد و بیرون زدگی ایجاد شود، فشار مزمن لثه را تحلیل میدهد و استخوان را نمایان میکند. برای کنترل، محافظ شب دندانقروچه پیشنهاد میشود. برای دریافت اطلاعات بیشتر در مورد جراحی تروما فک به این صفحه مراجعه کنید.
عفونت یا بیماری استخوان (Osteomyelitis or Osteonecrosis)
عفونت استخوان (osteomyelitis) یا مرگ استخوان (osteonecrosis) میتواند باعث بیرون زدگی شود، داروهایی مثل بیسفسفوناتها (برای پوکی استخوان) ریسک را بالا میبرند.

علائم هشدار شامل درد، تورم و بوی بد دهان است، مطالعات نشان میدهد که در بیمارانی که پرتو دریافت کردن، این مشکل شایعتر نیز میباشد.
تومور یا کیست
تومور یا کیست فک میتواند باعث شود استخوان بیرون زدگی داشته باشد، این موارد نادر است، ولی اگر تورم یا رشد سریع دیدید، باید بیوپسی شود تا مطمئن شویم. مراحل جراحی تومور فک را دی این صفحه ببینید.
علائم و نشانهها
برخی از نشانهها ممکن است توسط فرد نیز شناسایی شود، اما تشخیص دقیق نوع ناهنجاری را به عهده پزشک متخصص فک و صورت بسپارید. علائم بیرون زدگی استخوان فک معمولا مواردی است که در قسمت پایین مشاهده میکنید:
- دیدن یک بخشی سفید رنگ یا سفت در قسمت زیر لثه
- درد یا حساسیت در ناحیه بخ خصوص در زمان خوردن چیزی
- ورم غیر طبیعی یا التهاب لثه در یک ناحیه خاص
- خونریزی یا چرک در کنار دندانها
- بوی بد دهان در بیشتر مواقع
- مشکل در جویدن یا حرف زدن
اگر این نشانهها را دارید، سریع به پزشک مراجعه کنید، در صورت داشتن درد یا ترشح، مراجعه به پزشک را در اولویت قرار دهید.
تشخیص بیرون زدگی استخوان فک توسط دکتر شهاب الدین عزیزی
معمولا زمانی که تغییرات را حس میکنید، نگرانی با عنوان اینکه چطور میتوانم بیرون زدگی استخوان فک را رفع کنم در ذهنتان شکل میگیرد، ما توصیه میکنیم که آرامش خود را حفظ کنید، تنها کافیست پروسه زیر را طی کنید:
معاینه بالینی
پزشک اول دهانتان را نگاه میکند و سوالاتی در مورد سابقه کشیدن دندان یا ضربه شدید را بررسی میکند.
رادیوگرافی پانورامیک
این عکس کلی دهان را نشون میدهد و تکههای باقیمانده یا رشد اضافی را مشخص میکند.
CBCT یا سی تی اسکن سهبعدی
برای موارد پیچیده، سیتی سهبعدی جزئیات دقیقتری میدهد و کمک میکند برنامه درمانی تا لحظه بهبودی کامل چیده شود.
بیوپسی در موارد مشکوک
اگر به تومور یا عفونت شک کنیم، یک نمونه برمیداریم و آزمایش میکنیم، در این حالت پروسه درمان کمی متفاوت خواهد بود و وارد مسیر خارج کردن تومور خواهید شد.

روشها درمان بیرون زدگی استخوان فک
ممکن است میزان وسواسیت افراد در درمان این نوع ناهنجاریها با توجه به تجارب ما در کلینیک متفاوت باشد، بنابراین روشهای زیر را مطالعه کنید تا روش درست را مشاهده کنید:
درمان محافظهکارانه
برای موارد ساده، بهداشت دهان، ضدالتهابها یا آنتیبیوتکها کافی است، مثلا اگر عفونت را دیدید، با دارو کنترل میشود و پزشک این داروها را برای شما تجویز میکند.
برداشتن استخوان اضافی
اگر رشد اضافی وجود داشته باشد، با بیحسی ناحیه مورد نظر، استخوان را برمیدارند، دوره نقاهت 7 تا 14 روز یا دو هفته را خواهید گذراند البته انتظار کمی درد را داشته باشید.
پیوند استخوان و بازسازی
در موارد تحلیل یا استئونکروز، پیوند استخوان لازم میشود تا فک بازسازی شود. برای دریافت اطلاعات بیشتر در مورد پیوند استخوان فک و بازسازی این ناحیه میتوانید وارد این صفحه شوید. دریافت اطلاعات بیشتر در مورد جراحی پیوند استخوان فک به این صفحه بروید.
درمانهای تکمیلی
لیزر برای کاهش التهاب یا فیزیوتراپی فک برای موارد مرتبط با bruxism معمولا انجام میشود.
پیشگیری و مراقبت بعد از درمان
برای جلوگیری، بعد کشیدن دندان، لثه را تمیز نگه دارید و از سیگار دوری کنید، استفاده از محافظ شب برای دندان قروچه کمک میکند، مراجعات منظم به دندانپزشک مهمترین بخش است. بهداشت دهان که آسانترین کار به شمار میآید، بیشترین تاثیر را برای جلوگیری از این عارضه را دارد.

سوالات شما در مورد بیرون آمدن استخوان فک
چرا استخوان فک من از لثه دیده میشود؟
میتواند به خاطر باقی ماندن ریشه، عفونت یا رشد اضافی باشد، با چکاپ دقیق میشود فهمید.
آیا بیرون زدگی استخوان فک خطرناکه؟
اغلب نه، ولی اگر درد یا تورم داشته باشد، ممکن است عفونت باشد و باید چک شود.
چه وقتی باید برم پیش پزشک؟
اگر درد، ترشح یا تورم دیدید، فورا به پزشک مراجعه کنید.
آیا این وضعیت درد دارد؟
گاهی درد دارد، ولی اغلب بدون نشانه ظاهر میشود و این خطرناک ترین بخش این فرآیند است؛ یعنی تشخیص به موقع.
با دارو درمان میشود یا عمل لازمه؟
موارد ساده با دارو، ولی رشد اضافی ممکن است نیاز به جراحی داشته باشد.
تصویربرداریها برای تشخیص کدامند؟
رادیوگرافی پانورامیک یا CBCT.
بعد از ایمپلنت ممکن است این اتفاق بیفتد؟
بله، اگر عفونت باشه، ولی با مراقبت کم پیش میآید.
بیسفسفوناتها چه ربطی به این موضوع دارند؟
این داروها ریسک استئونکروز را بالا میبرند. حتما این موضوع را با پزشک متخصص فک مطرح کنید.
چطور از بیرون زدگی بعد کشیدن دندان جلوگیری کنیم؟
با بهداشت خوب دهان، سیگار نکشیدن و مراجعات منظم جلوی آن را بگیرید.
دکترشهاب الدین عزیزی
دکتر شهاب عزیزی، جراح فک و صورت: “در مواردی که ریشه باقی مانده باشد، لازم است سریع برداشته شود تا عفونت پخش نشود، در غیراینصورت فرآیند درمان ممکن است کمی پیچیده تر باشد.”
درمان بیرون زدگی استخوان فک در کلینیک دکتر عزیزی
بیرون زدگی استخوان فک مشکلی است که با تشخیص زود هنگام، به آسانی حل میشود، توصیه میکنیم اگر علائمی دیدید، معطل نکنید. برای معاینه تخصصی و سی تی اسکن در کلینیک دکتر شهاب الدین عزیزی، وقت ویزیت آنلاین بگیرید یا تماس بگیرید. دکتر شهاب عزیزی، فوق تخصص جراحی فک و صورت با سالها تجربه در تهران.