ضایعات عفونی فک و صورت

فهرست مطالب

درد و تورم در ناحیه فک و صورت گاهی فقط یک مشکل ساده دندانی به نظر می‌رسه، ولی اگر به آن بی‌توجهی کنیم، پتانسیل ایجاد یک دردسر بزرگ را دارد. این عفونت‌ها، که معمولا از یک پوسیدگی دندانی یا مشکل لثه شروع می‌شوند، اگر زود دست به کار نشویم، ممکن است به جاهای خطرناک‌تری در بدن سرایت کنند و حتی جان آدم را به خطر بیندازند. همچنین می‌توانید درمان انواع ضایعات پاتولوژیک فک و صورت را در این صفحه مشاهده فرمایید.

عفونت فک و صورت چیست و چرا باید آن را جدی بگیریم؟

این عفونت‌ها وقتی پیش می‌آیند که چرک در بافت‌های نرم، مثل پوست و عضله‌های صورت، یا حتی استخون فک جمع می‌شود، اما چرا این موضوع انقدر مهم است؟

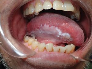
عفونت ناحیه فک، دهان و صورت
عفونت ناحیه فک، دهان و صورت

مشکل دندانی

پوسیدگی که به ریشه دندان رسیده، لثه‌های ملتهب یا دندان عقل گیر کرده داخل فک، می‌توانند باکتری را به جاهای عمیق‌تر ببرند.

صورت و گردن راه‌های زیادی دارن

بافت‌های این بخش به یکدیگر وصل هستن و عفونت می‌توانددر همه جاها و قسمت‌های بدن پخش شود. از ریشه دندان شروع و به گونه برسد، زیر زبان، یا حتی عمق گردن. اگر به راه تنفسی فشار وارد کند یا وارد خون شود، اوضاع بسیار بدتر از پیش از آن می‌شود.

علائم قابل توجه و مهم عارضه عفونی فک و صورت کدامند؟

اگر زود متوجه علائم حساس ضایعات عفونی فک و صورت مثل موارد زیر شویم، درمان خیلی راحت‌تر پیش می‌رود، این موارد چندتا از علامت‌های مهم به شمار می‌آید:

  • تورم در قسمت صورت، فک یا گردن در اندازه‌های مختلف
  • درد شدید در قسمت فک و صورت که با قرص‌های معمولی تسکین پیدا نکند
  • پوست بخش متورم قرمز و داغ می‌شود
  • باز کردن دهن سخت و دردناک تر می‌شود
  • غذا یا آب خوردن سخت تر از حالت عادی می‌شود
  • مزه بد در دهان و بینی حس می‌شود
  • تب، لرز یا حس کوفتگی و خستگی
عارضه عفونی فک و صورت
عارضه عفونی فک و صورت

اگر این حالات را به صورت ناگهانی حس کردید که قبلا نداشته‌اید بهتر است هرچه زودتر به پزشک متخصص فک و صورت مراجعه کنید.

چه مواردی خطر را در این عارضه جدی‌تر می‌کند؟

مشکلات دندانی که درمان نشوند، عامل اصلی شمرده می‌شوند، ولی چند چیز دیگر هم می‌تواند خطر را بیشتر کند:

سیستم ایمنی ضعیف

اگر دیابت دارید و کنترل یا مدیریت آن را پیگیری نمی‌کنید یا داروی خاصی مثل قرص‌های شیمی درمانی می‌خورید، بدن شما سخت‌تر با عفونت مقابله می‌کند.

بی‌توجهی به دندان

مسواک نزدن یا رعایت نکردن بهداشت دهان، راه را برای پوسیدگی و عفونت باز می‌کند، بنابراین حتی اگر بهداشت را تا به حال جدی نمی‌گرفته‌اید، از این لحظه باید بیشتر به آن توجه کنید.

جدی نگرفتن درمان ضایعات عفونتی فک و صورت

یک درد کوچک دندانی را اگر نادیده بگیرید، ممکن است به یک عفونت بزرگ تبدیل شود و کار را برای شما سخت کند. آنچه که بدیهی است مراجعه به پزشک متخصص در وهله اول کار دشواری نیست، برداشتن این قدم تنها کاری است که شما باید در اسرع وقت انجام دهید.

ضایعه عفونی فک، صورت و دهان را چطور تشخیص می‌دهند و درمان می‌کنند؟

اولین و مهم‌ترین بخش کار تشخیص عارضه است که در ویزیت اولیه اتفاق می‌افتد و در ادامه:

  • چکاپ اولیه: دکتر یا دندانپزشک ناحیه متورم را نگاه می‌کند، مشاهده می‌کند که دهان چقدر باز می‌شود و درباره سوابق پزشکی و دندان‌های شما سوالاتی پرسیده خواهد شد.
  • عکس برداری: معمولا با یک عکس ساده دندانی متوجه می‌شوند که مشکل از کجا است. اگر قضیه پیچیده‌تر باشد، ممکن است اسکن سه بعدی یا سی‌تی اسکن از شما بخواهند تا متوجه شوند عفونت تا کجا پخش شده است.

درمان چطور پیش خواهد رفت؟

ابتدا پزشک ریشه مشکل را حل می‌کند، شاید لازم باشد دندان را عصب‌کشی کنند یا اگر راه دیگری نیست، دندان را به طور کامل بکشند.

در مرحله بعد چرک را خالی می‌کنند، چرک باید با یک برش کوچک (معمولاً از قسمت داخل دهان) بیرون آورده شود تا فشار کم شود.

راه‌های اصلی درمان

با بی‌حسی یا گاهی بیهوشی، یک برش کوچولو در محل چرک ایجاد می‌کنند، گاهی یک لوله پلاستیکی (اصطلاحا به آن درن می‌گویند) قرار می‌دهند که چند روز در آن جا بماند تا همه چرک خالی شود.

نحوه درمان ضایعات عفونی فک، دهان و صورت
نحوه درمان ضایعات عفونی فک، دهان و صورت

 

آنتی‌بیوتیک‌ها باکتری را کنترل می‌کند، ولی اگر چرک تخلیه نشود یا منشا عفونت حذف نشود، به تنهایی درمان پایداری را به همراه نخواهد داشت، دکتر نوع دارو و مقدار آن را برای شما تعیین می‌کند تا این پروسه به درستی اتفاق بیافتد.

بعد از درمان چکار کنیم؟

برای اینکه عفونت عود نکند و به حالت طبیعی و عادی بازگردید، این موارد را بهتر است انجام دهید:

  • هفته اول: با کمپرس سرد تورم را کنترل کنید، داروهایی که دکتر تجویز کرده را درست سر وقت بخورید و خوردن مایعات مثل سوپ، آب‌میوه یا اسموتی را دست کم نگیرید.
  • هفته‌های بعدی: کم کم غذاهای نرم مثل پوره سیب‌زمینی یا ماست را به رژیم غذایی خود اضافه کنید، فعالیت سنگین نکنید، مگر اینکه دکتر این اجازه را به شما بدهد.
  • تمیزی دهان: با دهانشویه‌ای که دکتر در نظر گرفته و مسواک زدن آرام، دهان خود را تمیز نگه دارید.
  • چکاپ و پیگیری بعدی: حتما سر وقت جلساتی که از پیش تعیین شده را شرکت کنید تا دکتر از پیشرفت درمان مطمئن شود.

اگر موارد گفته شده را به درستی انجام ندهیم چه اتفاقی می‌افتد؟

بی‌توجهی به این عفونت‌ها کاملا جدی است و علاوه بر علائم دردسرهای دیگری را برای شما رقم خواهد زد که شامل:

  • بستن راه تنفس: اگر تورم در بخش گردن یا کف دهان زیاد شود، می‌تواند نفس کشیدن را سخت و باعث ایجاد یک موقعیت اورژانسی شود.
  • پخش شدن عفونت: باکتری‌ها می‌توانند وارد سینوس، چشم، مغز یا حتی قلب شوند و مشکلات و ناهنجاری‌های جدی تری را ایجاد کنند.
  • سپسیس: یک واکنش خطرناک بدنی است که می‌تواند اعضای بدن را از کار بیاندازد.
  • عفونت استخوان: این مورد می‌‌تواند استخون فک را خراب کرده و ناهنجاری را تشدید کند.

سؤالات پر تکرار بیماران عفونی فک، دهان و صورت

هر درد دندانی یعنی عفونت جدی؟

نه لزوما، ولی اگر با تورم، تب یا مشکل بلع همراه باشد، باید سریع به دندانپزشک مراجعه کنید.

آنتی‌بیوتیک به تنهایی کافیه؟

خیر، چرک باید کامل تخلیه و مشکل دندانی ریشه کن شود آنتی‌بیوتیک فقط نقش مسکن را بازی می‌کند و در روزهای دیگر ممکن است عارضه برگردد.

تورم بعد از کشیدن دندان طبیعیه؟

مقدار کمی تورم به مدت 2 تا 3 روز عادی است، ولی اگر بدتر شد و تب به وجود آمد یا چرک را مشاهده کردید، زنگ خطر مجدد برای رشد و عود عفونت است.

کی باید سریعا به اورژانس مراجعه کنم؟

اگر تورم به یکباره خیلی زیاد شد و تب شدید داشتید و از طرفی نمی‌توانستید غذا ببلعید یا نفس کشیدن سخت تر شد، معطل نکنید و به اورژانس مراجعه کنید.

درمان عفونت فک و صورت چگونه است؟

عفونت فک و صورت چیزی نیست که بتوانید آن را نادیده بگیرید. اگر علائم مشکوکی دارید، هر چه سریع‌تر پیش یک دندانپزشک یا جراح بروید. انتخاب یک مرکز درمانی حرفه‌ای و گوش دادن به توصیه‌های دکتر، خیالتان را برای درمان سریع راحت خواهد کرد، اگر چیزی در قسمت صورت یا فک غیر عادی مشاهده کردید، همان لحظه برای چکاپ اقدام کنید.

 

من دکتر شهاب الدین عزیزی، متخصص جراحی فک و صورت، با داشتن سال‌ها تجربه و تخصص‌های پیشرفته، در زمینه جراحی‌های زیبایی و ترمیمی فک و صورت فعالیت می‌کنم. فارغ التحصیل دوره عمومی از دانشگاه علوم پزشکی شیراز، فلوشیپ لیزر از دانشگاه جنوا ایتالیا و همچنین دارای بورد تخصصی از دانشگاه شهید بهشتی هستم.

اشتراک گذاری

دیدگاهتان را بنویسید

نشانی ایمیل شما منتشر نخواهد شد. بخش‌های موردنیاز علامت‌گذاری شده‌اند *