علت جلو آمدگی فک بالا
فهرست مطالب
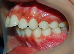
جابجایی فک و قرارگیری نادرست آن حالتهای مختلفی دارد که در اینجا میخواهیم به علت جلوآمدگی فک بالا بپردازیم که در حوزه پزشکی اصطلاحا به این ناهنجاری اورجت میگویند. این عارضه علاوه بر دلایل زیبایی چهره، ممکن است جویدن، نفس کشیدن و غذا خوردن شما را تحت تاثیر قرار دهد.

اطلاعات علمی که در این مطلب قرار گرفته با نظارت تخصصی دکتر شهاب الدین عزیزی، متخصص جراحی فک، صورت و زیبایی، تهیه شده، به طور کامل به بررسی علتها، عوارض و روشهای درمانی، میپردازیم. همچنین میتوانید برای دریافت خدمات تخصصی فک وارد این صفحه شوید.
اورجت یا جلو بودن فک بالا چیست؟ (تشخیص ناهنجاری کلاس ۲)
شاید در وهله اول وقتی جلو زدگی فک بالا را میشنوید تصورتان این باشد که تنها دندانها جلوآمدگی دارند، در حالیکه عامل اصلی آن جلورفتگی فک است که باعث میشود دندانها در جای خود نباشند و گاهی اوقات هم کج شوند. بنابراین این اسکلت صورت است که طبیعی نیست.
اورجت (Overjet)یک اصطلاح تخصصی برای بازگو کردن این ناهنجاری است که در آن دندانهای جلویی فک بالا که به آن ماگزیلامیگویند به طور افقی، جلوتر از دندانهای جلویی فک پایین یا همان ماندیبل قرار میگیرند.
دلیل تخصصی جلوزدگی فک بالاحالت ایدهآل یا نرمال اختلاف دندانهای بالا و پایین به صورت افقی حدود ۱ تا ۲ میلیمتر است که بیشتر از عارضه اورجت نام دارد.
مال اکلوژن یعنی چه؟ و چه ارتباطی با جلورفتگی دندانهای بالا دارد؟
در حوزه ارتودنسی و جراحی فک، اختلاف سطح دندان بالا و پایین در حالت غیر طبیعی مال اکلوژن کلاس دو (Class II Malocclusion) نام گذاری میشود.
اگر این اصطلاح را در پروند پزشکی خود دیدید مشکل ناهماهنگی بین دو فک است و تنها با حرکت دادن دندانها قابل حل نیست.
علت اصلی جلو بودن فک بالا
اگر سوال شما این است که چرا فک بالای بعضی از افراد بیش از حد رشد میکند یا جلوتر است؟
باید بگوییم علت جلو بودن فک بالا یک عامل ندارد، بلکه مجموعهای از عوامل متنوع است که در ادامه آنها را بررسی خواهیم کرد و خواهیم گفت که برای هر یک از این ریشهها چه نوع درمانی در نظر گرفته میشود.
عوامل ژنتیکی و وراثت
در موارد زیادی ریشه ژنتیکی وDNA گویای این عامل است، در واقع عوامل ژنتیکی نقش اول را در تعیین اندازه، شکل و موقعیت فکهای شما دارند.
اگر پدر و مادر یا اقوام نزدیک شما ناهنجاری فک کلاس ۲ دارند، احتمال اینکه شما هم این ویژگی اسکلتی را به ارث برده باشید، بیشتر است.
عادات دوران کودکی (عوامل محیطی)
فکها به خصوص در دوران کودکی، انعطافپذیری فوق العاده زیادی دارند، عادتهای اشتباه طولانی در این دوران میتوانند به طور مستقیم بر رشد اسکلت صورت تأثیر بگذارند، مثل فشردن دندانها روی هم و مواردی که در ادامه میگوییم. باید مراقب این موارد در کودکان خودتان باشید.
- آیا مکیدن شست باعث جلو آمدن فک میشود؟ بله مکیدن طولانی و شدید شست، انگشت یا حتی استفاده بیش از حد از پستانک پس از سنین نوپایی، میتواند، فک بالا را به سمت جلو ببرد و آن را باریک کند.
- کارهای اشتباه دیگری مثل فشار دادن زبان به پشت دندانهای جلو (Tongue Thrusting) میتواند در ایجاد اورجت نقش داشته باشند.
ناهماهنگیهای اسکلتی؛ علل اصلی جراحی
حال اگر به هر دلیلی مثل ناهنماهنگی اسکلتی، حالت اسکلت فک و صورت غیرطبیعی بود بهتر است آن را رفع کنید چراکه ممکن است در موارد دیگری اختلال ایجاد کند که در ادامه میبینیم:
رشد بیش از حد فک بالا؛ (Maxillary Excess)
در برخی موارد، مشکل همان چیزی است که در ظاهر دیده میشود مثل فک بالا که به طور نامتناسبی رشد کرده است و نسبت به بقیه قسمتهای صورت جلو آمده است.
عقب بودن فک پایین؛ (Mandibular Deficiency)
در بسیاری از بیماران فک بالا ممکن است اندازهی طبیعی داشته باشد اما عقب بودن فک پایین باعث میشود که فک بالا جلوتر به نظر برسد. تشخیص این موضوع تنها توسط پزشکت متخصص فک و صورت امکان پذیر است.
در این حالت درمان ممکن است نیاز به جراحی هر دو فک که اصطلاحا به آن جراحی بایمکس میگویند منجر شود.
عوارض جلو بودن فک بالا که نباید از آن غافل باشید
نادیده گرفتن اورجت میتواند منجر به مشکلاتی شود که مهمتر از تاثیر جلو بودن فک بالا بر زیبایی صورت هستند، که در ادامه میبینید:
مشکلات عملکردی
تاثیر جلوردگی فک بالا بر جویدن بسیار زیاد است، بستن طبیعی دهان و جویدن موثر غذا در این حالت سخت میشود.
سایش دندانها
تماس نامناسب دندانهای جلویی هم بالا و هم پایین ممکن است باعث سایش دندانها به طور زودرس و غیرطبیعی شوند.
اختلالات گفتاری
مشکلات حرف زدن و صحبت کردن نوک زبانی یا مشکل در تلفظ بعضی حروف، به دلیل موقعیت نادرست فک و دندانها است.
آسیبپذیری دندانها
دندانهای جلویی که بیش از حد بیرون زدهاند، در برابر ضربه و شکستگی آسیبپذیرتر هستند، زودتر از حالت عادی خراب میشوند.
مشکلات تنفسی
اگر اورجت یا همان جلورفتگی دندان و فک بالا با عقب بودن فک پایین همزمان باشد، میتواند مسیر هوایی را باریک کرده و به جلو بودن فک بالا و مشکل تنفسی یا حتی آپنه خواب (Sleep Apnea) تبدیل شود.
روش درمان جلو بودن فک بالا؛ از ارتودنسی تا جراحی
راههای مختلفی برای درمان اورجت وجود دارد، درمان بستگی به شدت ناهنجاری و اسکلتی یا دندانی بودن مشکل دارد که در ادامه بررسی میکنیم.
درمان غیرجراحی؛ ارتودنسی برای عقب کشیدن فک بالا
اگر درمان جلوآمدگی فک بالا بدون جراحی توسط دکتر شهاب الدین عزیزی در طرح درمان شما آمده باشد، معمولا به دو حالت انجام میشود.
کودکان و نوجوانان
در سن رشد با استفاده از دستگاههای فانکشنال مثل هدگیر یا دستگاههای اصلاح رشد، رشد فک پایین را تحریک کرد یا رشد فک بالا را کنترل میکنیم.
بزرگسالان (موارد خفیف)
مواردی که ناهنجاری اسکلتی خفیف است، درمان اورجت در بزرگسالان با ارتودنسی میتواند با حرکت دادن دندانها، مشکل را پنهان یا کاموفلاژ کند.
در این روش استخوان فک جابجا نمیشود، بلکه دندانها در موقعیتی قرار میگیرند که ناهنجاری را بپوشانند.
درمان قطعی جلورفتن فک بالا؛ جراحی ارتوگناتیک (ارتوسرجری)
زمانی که جلوردگی فک بالا در یک فرد بالغ علت اسکلتی داشته باشد یعنی مشکل از استخوان فک باشد، ارتودنسی راهکار پایدار و قطعی نیست، در اینجا جراحی جلو بودن فک بالا به عنوان درمان قطعی به شما ارائه داده میشود.
این روش جراحی ارتوگناتیک (Orthognathic Surgery) است که به دلیل ترکیب آن با ارتودنسی به آن ارتوسرجری نیز میگویند. برای دریافت اطلاعات بیشتر در مورد این نوع عمل میتوانید به صفحه آن مراجعه کنید.

مشاوره و تشخیص با دکتر شهاب الدین عزیزی و طرح درمان فردی
در اولین قدم درمان دکتر عزیزی با استفاده از معاینه، رادیوگرافیهای تخصصی و اسکن، علت مشکل شما را تشخیص میدهد و پرسشهای زیر را بررسی میکند.
آیا فقط فک بالا جلو است؟ آیا فک پایین عقب است؟ آیا هر دو فک نیاز به اصلاح دارند؟ طرح درمان سه بعدی در این مرحله طراحی میشود.
سوالات شما درباره درمان اورجت
سوالات زیر رایجترین نمونه دغدغههای افرادی با مشکلات مشابه با شماست، اگر پاسخ سوال خود را دریافت نگرفتید با ما تماس بگیرید و مشاوره مورد نیاز را دریافت کنید.
آیا جلو بودن فک بالا همیشه نیاز به جراحی دارد؟
اگر مشکل صرفا دندانی باشد یا در سن رشد تشخیص داده شود، ارتودنسی به تنهایی ممکن است کافی باشد، اما در بزرگسالان با ناهنجاری اسکلتی، جراحی تنها راه درمان قطعی و دستیابی به نتایج پایدار است.
سن مناسب برای جراحی فک بالا در جهت رفع جلوزدگی چه زمانی است؟
سن مناسب برای جراحی فک بالا پس از توقف کامل رشد اسکلتی است، که معمولا در دختران حدود ۱۷ تا ۱۸ سالگی و در پسران ۱۹ تا ۲۱ سالگی است.
عوارض جراحی عقب کشیدن فک بالا چیست؟
مثل هر جراحی دیگری ریسکهای احتمالی مثل عفونت، خونریزی یا بیحسی موقت که معمولا در لب پایین یا چانه اتفاق میافتد وجود دارد.
عوارض جراحی عقب کشیدن فک بالا با انتخاب یک جراح فک و صورت باتجربه و ماهر مثل دکتر شهاب الدین عزیزی و رعایت دقیق مراقبتهای بعد از عمل، به حداقلترین حالت ممکن میرسد.
جلورفتگی فک بالا یا اورجت فک چیست؟
موفقیت در درمان این عارضه مستقیما به تشخیص علت جلوآمدگی فک بالا یا ماگزیلا، مهارت، تجربه جراح شما بستگی دارد. انتخاب بهترین جراح برای جلو بودن فک بالا، تضمینکننده تشخیصی درست و نتیجهای است که نه تنها عملکرد جویدن و تنفس شما را بهبود میبخشد، بلکه هماهنگی و زیبایی طبیعی را به چهره و صورت شما برمیگرداند.
تخصص دکتر شهاب الدین عزیزی در جراحیهای فک و صورت، این اطمینان را به شما میدهد تا بخواهید هرچه زودتر این ناهنجاری را رفع و درمان کنید.
